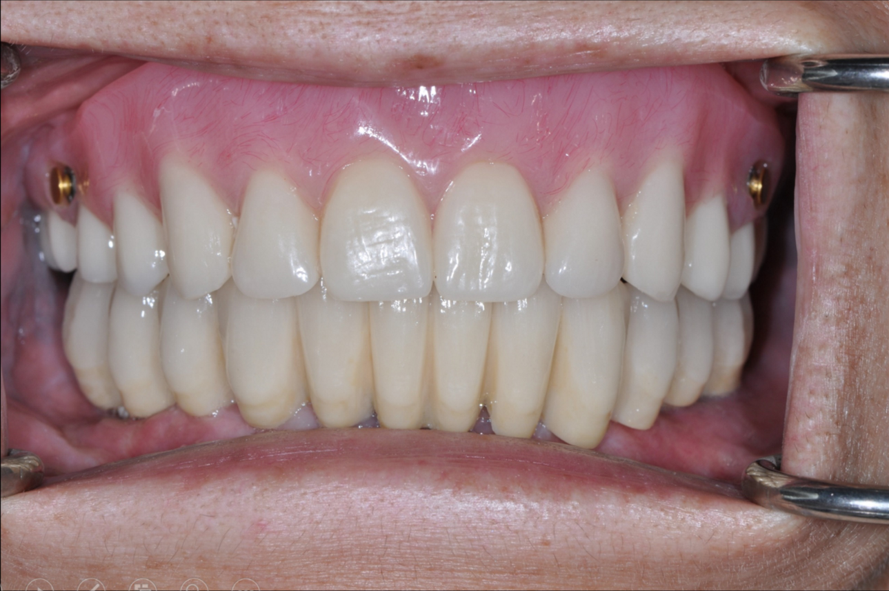
Upper and Lower - Case 2
(Click to enlarge)
        2743 California Ave. SW #200
        Seattle WA 98116
      
(206) 519-5337
        2505 S 320th St. #330
        Federal Way, WA 98003
      
(206) 400-0800
        2731 Eastlake Avenue East
        Seattle, WA 98102
      
(206) 329-0410
        625 4th Ave, Suite #201
        Kirkland, WA 98033
      
(425) 658-0850